Cabinet d'orthodontie du Dr Brunet
Orthodontiste à Thonon les Bains
6 avenue des Allobroges, 74200 THONON
+33 4 50 26 26 74
Cabinet d'orthodontie du Dr Brunet
Orthodontiste à Thonon les Bains

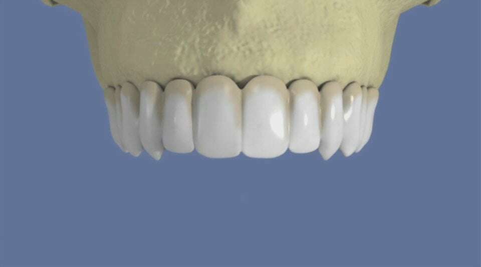
Maxillaire : bridge vissé sans fausse gencive


video-play-icon

Articles similaires

Création par Webdentiste

Connexion